همزة وصل -
يمتلك الإنسان عادة 32 سناً، لكن هناك حالات نادرة يكون فيها عدد الأسنان أكبر من المعتاد، وقد لا يلاحظ أصحابها أي مشكلة إذا نمت الأسنان الزائدة بشكل طبيعي.
هذا ما حدث مع براثاب مونياندي، الرجل البالغ من العمر 42 عاماً ولديه طفل واحد، والذي يحمل الرقم القياسي العالمي لأكبر عدد من الأسنان في العالم، وفق موسوعة غينيس ويمتلك أغرب ابتسامة.
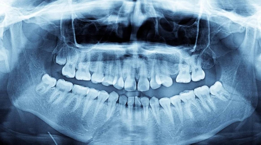
اكتشف مونياندي أسنانه الزائدة لأول مرة أثناء وجبة عائلية في عام 2021، وقال لموسوعة غينيس: "أحصينا الأسنان ووجدنا أن لديّ 38 سناً، وأظهرت صور الأشعة لاحقاً وجود أربعة أسنان أخرى لم تظهر بعد، وبحلول أوائل 2023، بلغ مجموع أسناني 42 سناً، ولحسن الحظ نمت معظمها بشكل مستقيم ودون مضاعفات" وفق iflscience.
رغم زيادة عدد الأسنان، لا يشعر مونياندي بأي مشكلة، لكنه يحتاج إلى عناية أكبر أثناء تنظيفها. وأضاف: "إنه شعور رائع ومميز أن أحمل الرقم القياسي العالمي لأكبر عدد من الأسنان".
تسمى هذه الحالة فرط الأسنان، وهي حالة نادرة تحدث بين 0.1% و3.8% من الأشخاص.
يوضح طبيب الأسنان أولي جوبس أن سببها عادة وراثي أو خلل في الصفيحة السنية، وهي الخلايا التي تتشكل منها الأسنان أثناء النمو، إذا لم تسبب الأسنان الزائدة مشاكل، يمكن تركها دون تدخل.
لكن قد تؤدي الأسنان الزائدة أحياناً إلى صعوبات في التنظيف، مما يزيد من احتمالية التسوس أو أمراض اللثة، كما قد تؤثر على وظيفة الفك إذا منعت الأسنان من الانطباق بشكل صحيح.
على الرغم من أن مونياندي يحمل الرقم القياسي للذكور، سجل تقرير طبي في عام 2011 حالة فتاة تبلغ من العمر 11 عاماً، وُجد لديها 81 سناً، منها 32 سناً دائمة و18 سناً لبنية، و31 سناً زائدة.
في هذه الحالات المعقدة، يجب التخطيط لخلع الأسنان بعناية فائقة لتجنب الإضرار بعظام الفك، حيث لا يختلف شكل الأسنان الزائدة كثيراً عن الأسنان الطبيعية، ومعظمها غير نابت، مما يجعل إدخالها في تقويم الأسنان أمراً صعباً.
حتى هذه الحالات الكبيرة لا يلاحظ أصحابها الأسنان الزائدة إلا عند مراجعة طبيب الأسنان أو عند خلع الأسنان اللبنية، ما يوضح أن فرط الأسنان يمكن أن يمر دون ملاحظة طويلة الأمد، ويظل أغرب منطقياً عند اكتشافه لأول مرة.



